Er zijn verschillende onderzoeksmethoden om het heupgewricht te bekijken. Welke methode wordt gebruikt, hangt af van de leeftijd van degene die moet worden onderzocht en soms ook van de specifieke klachten. De informatie op deze pagina is algemeen: het kan zijn dat een arts andere redenen heeft om voor een bepaald onderzoek te kiezen dan hier wordt genoemd. Dit betekent niet dat wat de arts heeft voorgesteld niet klopt.
Op deze pagina zetten we op een rijtje welke beeldvormende onderzoeksmethoden er zijn, wanneer ze kunnen worden gebruikt en wat de stralingsbelasting is.
Deze informatie is gecontroleerd door leden van de Medische Adviesraad van de VAH en door prof.dr. S.G.F. Robben, radioloog in het Maastricht UMC+.
Wat is achtergrondstraling?
Mensen maken zich vaak zorgen om de straling die bij een deel van deze onderzoeken wordt gebruikt, maar de dosis straling die wordt gebruikt, is tegenwoordig heel laag.
De dosis straling die bij een onderzoek wordt gebruikt, kan worden uitgedrukt in ‘aantal dagen achtergrondstraling’. Overal waar je bent, word je blootgesteld aan straling vanuit onder andere het heelal en de grond. De hoeveelheid achtergrondstraling verschilt per gebied. Hoe dichter je bij de evenaar komt, hoe meer achtergrondstraling er is. Ook tijdens een vakantie in de bergen word je blootgesteld aan een hogere dosis achtergrondstraling dan in Nederland.
Het is niet exact te zeggen hoe groot de dosis straling is die wordt gebruikt bij deze onderzoeken omdat dit kan verschillen per apparaat en ook per patiënt. Daarom geven we een globale indicatie. Wil je het exact weten dan kun je hier op de afdeling Radiologie van jouw ziekenhuis naar informeren.
Wat is een echo?
Bij het maken van een echo wordt met behulp van geluidsgolven videobeeld gemaakt van weefsels en organen.
Het maken van een echo wordt bij baby’s onder andere gebruikt om te kijken of er sprake is van dysplastische heupontwikkeling (heupdysplasie en/of heupluxatie). De baby wordt op de zij in een speciaal kussen gelegd waarna de echoscopist de heup bekijkt met behulp van de transducer. Daarna wordt de baby op de andere zij gelegd om de andere heup te onderzoeken. Dit onderzoek is mogelijk tot de heupkop begint te verbenen. Het is afhankelijk van de ontwikkeling van de baby wanneer dat precies is, maar meestal is dat rond de leeftijd van negen maanden.

Links: een echo van een normale heup bij een kind van 3 maanden oud.
Rechts: de belangrijkste anatomische structuren die op de echo van een babyheup te zien zijn.
Bij oudere kinderen en volwassenen kan een echo worden gemaakt om te kijken of er vocht in of bij het gewricht zit. Ook kan deze methode worden gebruikt om te kijken of er sprake is van een slijmbeursontsteking.
Het maken van een echo duurt ongeveer tien minuten, zonder het aan- en uitkleden.
Bij het maken van een echo wordt geen straling gebruikt.
Wat is een röntgenfoto?
Een röntgenfoto is een foto die wordt gemaakt met behulp van röntgenstraling. Met behulp van een röntgenfoto kunnen de botten in het lichaam worden bekeken.
Om de heup goed in beeld te brengen, wordt meestal een foto in twee richtingen gemaakt. Als je in één richting fotografeert, kan iets belangrijks wegvallen. Vaak wordt het hele bekken gefotografeerd om beide heupen met elkaar te kunnen vergelijken.
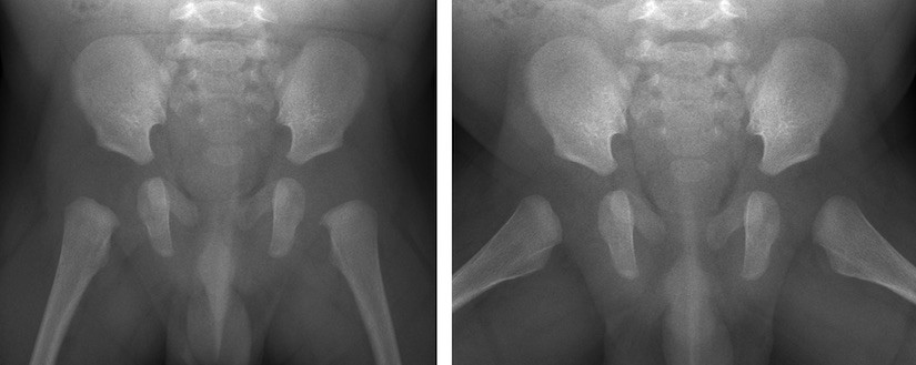
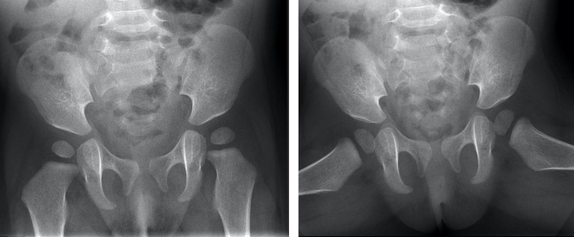
Bij kinderen wordt meestal een bekkenfoto van voor naar achter gemaakt (AP-opname: anterior posterior) met de benen gestrekt. De tweede foto wordt dan gemaakt met de benen in de zogenaamde kikkerpositie. Dit heet een Lauensteinopname. Hiermee kan onder andere worden gekeken of de heupkop goed in de kom staat en kan de vorm van de heupkop in twee richtingen worden gecontroleerd.

Links: voorachterwaartse röntgenfoto (AP-opname) met de benen gestrekt van het bekken van een baby van 3 maanden.
Rechts: voorachterwaartse röntgenfoto in kikkerhouding (Lauensteinopname) van het bekken van een baby van 3 maanden.

Links: voorachterwaartse röntgenfoto (AP-opname) met gestrekte benen van het bekken van een kind van 12 maanden.
Rechts: voorachterwaartse röntgenfoto in kikkerhouding (Lauensteinopname) van het bekken van een kind van 12 maanden.
Bij volwassenen wordt er ook een bekkenfoto gemaakt (AP-opname), maar de foto in de tweede richting is vaak een foto van opzij (laterale opname).
Als er regelmatig controlefoto’s worden gemaakt, kan het zijn dat de arts ervoor kiest nog maar één foto te maken per controle om de hoeveelheid straling zo laag mogelijk te houden.
Het maken van een röntgenfoto duurt enkele minuten.
Bij het maken van een röntgenfoto van de heup wordt straling gebruikt. In de tabel hieronder staat met hoeveel dagen achtergrondstraling je dit ongeveer kunt vergelijken*.
| Baby 0-1 jaar | Kind 1-10 jr | Kind 10-18 jr | Vanaf 18 jr en ouder | |
|---|---|---|---|---|
| AP-opname bekken | 4,5 dag | 4,5 dag | 15 dagen | 15 dagen |
| Lauensteinopname | 2,2 dagen | 2,2 dagen | 4,5 dag | |
| Laterale opname heup | 7,6 dagen |
Wat is een CT-scan?
Een CT-scan is een scan die wordt gemaakt met behulp van röntgenstraling. CT staat voor computed tomography (computertomografie). Door heel veel foto’s achter elkaar te maken, kun je met behulp van een CT-scan een 3D-beeld maken van het lichaamsdeel dat je wilt bekijken.
Omdat een CT-scan een dwarsdoorsnede van het lichaam weergeeft, wordt voor het in beeld brengen van de heup een scan van het bekken gemaakt. Tijdens het maken van de scan lig je op je rug op een tafel die door de scanner schuift.
Het maken van een CT-scan duurt over het algemeen een paar minuten

Links: CT-scan van het bekken van een baby van 8 maanden. Dwarsdoorsnede door het heupgewricht. De heupkoppen zijn gemarkeerd met witte pijlen. De linkerheupkop is naar achter (rugzijde) geluxeerd. Dit is op een röntgenfoto niet goed te zien.
Rechts: CT-scan van het bekken van dezelfde baby als figuur 7, 1 maand na repositie. De linkerheupkop staat goed in de kom..
Bij kinderen met heupluxatie kan een CT-scan worden gebruikt om te controleren of de heupkop goed in de heupkom staat als het niet lukt om dit op een andere manier te bekijken.
Bij volwassenen wordt een CT-scan vaak gebruikt om breuken rond het heupgewricht op te sporen na een ongeval.
Bij het maken van een CT-scan van het bekken wordt straling gebruikt. In de tabel hieronder staat met hoeveel dagen achtergrondstraling je dit ongeveer kunt vergelijken*.
| 0-1 jaar | 1-10 jaar | 10-18 jaar | Vanaf 18 jaar | |
|---|---|---|---|---|
| CT-scan bekken | 0,8 jaar | 0,4 jaar | 1,2 jaar | 1,7 jaar |
De dosering bij kinderen van 0-1 jaar is een overschatting. Zij dragen bij het maken van een CT-scan vrijwel altijd een gipsbroek en dan is er meer straling nodig om de heupen goed in beeld te kunnen krijgen.
Wat is een MRI-scan?
Een MRI-scan is een scan die wordt gemaakt met behulp van een magneetveld en radiogolven. MRI staat voor Magnetic Resonance Imaging. Met een MRI-scan is het mogelijk om de weke delen van een gewricht (alles behalve het bot) in beeld te brengen waardoor bij de heup bijvoorbeeld ook het labrum en het kraakbeen van het gewricht kunnen worden bekeken.
MRI van een kind van twee jaar. Dwarsdoorsnede door beide heupgewrichten: het kraakbeen van de heupkoppen is goed zichtbaar. Op een röntgenfoto is dit niet te zien.
Soms wordt ook gebruik gemaakt van contrastvloeistof om het beeld nog duidelijker te krijgen. Dit kan worden ingespoten met behulp van een infuus in de arm of rechtstreeks in het gewricht. Dit laatste wordt een arthrogram genoemd.
Omdat een MRI-scan wordt gemaakt met behulp van een magnetisch veld verstoren metalen het beeld dat de scan maakt. Dit betekent echter niet dat er geen MRI-scan kan worden gemaakt als je bij een eerdere operatie schroeven of een kunstheup hebt gekregen. Bij het maken van de scan kan men met een speciaal programma de effecten van deze voorwerpen zo klein mogelijk maken. Daarnaast zal je arts er bij het aanvragen van de scan al rekening mee houden dat sommige dingen wellicht niet goed te zien zullen zijn.
Net als de CT-scan is een MRI-scan een dwarsdoorsnede van het lichaam en wordt voor het in beeld brengen van de heup een scan van het bekken gemaakt. Voor het maken van de scan wordt er soms een soort antenne op het bekken gelegd. Daarna word je in de tunnel van de scanner geschoven. Je bekken ligt dan in het midden van de tunnel. Tijdens het maken van de scan moet je minutenlang stil blijven liggen. Als kinderen niet zo lang stil kunnen blijven liggen, kan het onderzoek niet doorgaan óf moet het onder narcose worden gedaan.
Er zijn ook open MRI-scanners waarbij je niet in een tunnel ligt, maar tussen twee ronde schijven. Dit type scanner is echter niet in elk ziekenhuis aanwezig.
Om een goed beeld te krijgen, worden meerdere opnamen gemaakt. Elke opname duurt een aantal minuten. Tijdens de opname maakt de scanner een hard kloppend geluid, daarom krijg je een koptelefoon met gehoorbescherming op. Daarmee kun je tussen de opnamen door naar muziek luisteren en hoor je de radiologiemedewerker. Ook krijg je een bel in je hand waarmee je kunt aangeven dat je iets wilt zeggen.
Het harde geluid en de krappe tunnel kunnen een beetje beangstigend zijn. Heb je last van claustrofobie? Geef dit aan bij de afdeling radiologie zodat men hier rekening mee kan houden en eventueel extra tijd kan inplannen voor je afspraak. Je kunt ook vragen of je eerst een keer mag komen kijken als voorbereiding.
In veel ziekenhuizen mag je iemand meenemen als begeleider die bij je kan zitten tijdens het maken van de scan. Voorafgaand aan het maken van de scan moet je een vragenlijst invullen. Een eventuele begeleider moet deze ook invullen en moet zich ook aan de voorschriften houden. Het is belangrijk dit van tevoren met elkaar te bespreken om te voorkomen dat vlak voor de scan blijkt dat je begeleider niet mee naar binnen mag.
Het maken van een MRI-scan van het bekken duurt over het algemeen ongeveer 30 minuten, soms iets langer.
Bij het maken van een MRI-scan wordt geen straling gebruikt.
Wat is een arthrogram?
Een arthrogram is een röntgenfoto die is gemaakt nadat er contrastvloeistof in het gewricht is gespoten. Met behulp van deze vloeistof kun je op een röntgenfoto de ruimte tussen de heupkop en de heupkom in beeld brengen. Afhankelijk van de onderzoeksvraag kan na het maken van het arthrogram ook nog een CT-scan of MRI-scan worden gemaakt. Dit wordt dan een CT-arthro of MRI-arthro genoemd.
Het maken van de röntgenfoto’s is pijnloos, maar de injectie kan wel pijnlijk zijn. Het is belangrijk om tijdens de injectie goed stil te liggen, daarom wordt dit onderzoek bij kinderen onder narcose gedaan.
Bij baby’s met een heupluxatie kan op deze manier worden gekeken of er weefsel in de heupkom zit dat de heupkop uit de kom drukt. Als dit het geval is, is in veel gevallen een open repositie nodig om het weefsel weg te halen. Meestal wordt dit dan meteen gedaan zodat het kind niet nogmaals onder narcose hoeft.

Links: röntgenfoto van een kind van 4 maanden oud met contrastvloeistof (wit) rond de heupkop.
Rechts: CT-scan van een kind van 9 maanden oud met contrastvloeistof (wit) rond de heupkop.
Bij kinderen met de ziekte van Perthes kan een MRI-arthro meer informatie geven over de positie van de heupkop in de heupkom en of het nodig is een corrigerende operatie uit te voeren.
Bij volwassenen kan met behulp van een arthrogram worden gekeken of er kraakbeenbeschadigingen zijn. Soms wordt behalve of in plaats van contrastvloeistof een ontstekingsremmend en/of pijnstillend middel in het gewricht gespoten. Dit heet een marcaïnisatie en heeft als doel de klachten (tijdelijk) te verminderen.
Volwassenen mogen na het maken van een arthrogram en/of een marcaïnisatie niet zelf autorijden. De heup kan enkele dagen gezwollen, stijf en ook wat pijnlijk aanvoelen. Het is belangrijk om voldoende rust te nemen, maar blijven bewegen helpt om het gewricht te laten herstellen.
Het maken van een arthrogram duurt over het algemeen 15 minuten.
Bij het maken van een arthrogram wordt straling gebruikt. De hoeveelheid is afhankelijk van het aantal röntgenfoto’s dat wordt gemaakt.
Wat is een botscan?
Een botscan, ook wel skeletscintigrafie genoemd, is een scan van het skelet die wordt gemaakt nadat er een licht radioactieve stof is ingespoten via een infuus. Na het inspuiten van de radioactieve stof moet je een tijdje wachten zodat deze kan worden opgenomen in de botten en gewrichten. Op plekken waar meer activiteit is, verzamelt zich meer radioactieve stof. Met behulp van een gammacamera kan dit in beeld worden gebracht.
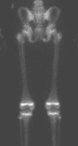
Botscan van het bekken, bovenbenen en knieën van een kind van 10 jaar. Op plekken waar het skelet hard groeit, zoals de groeischijven rond de knieën, is veel activiteit zichtbaar. Er zijn geen afwijkingen.
Tijdens het maken van de scan lig je op je rug. De gammacamera wordt vlak boven je gepositioneerd om de radioactiviteit goed te kunnen opvangen.
Met behulp van een botscan kan worden gekeken of er sprake is van een infectie rond een heupprothese.
Het maken van de botscan zelf duurt ongeveer 30 minuten. Door de wachttijd ben je er wel enkele uren mee bezig.
Bij het maken van een botscan van de heup wordt straling gebruikt. In de tabel hieronder staat met hoeveel dagen achtergrondstraling je dit ongeveer kunt vergelijken*.
| 0-1 jaar | 1-10 jaar | 10-18 jaar | Vanaf 18 jaar | |
|---|---|---|---|---|
| Botscan bekken | 1,8 jaar | 1,9 jaar | 2,0 jaar | 2,0 jaar |
* Deze gegevens zijn gebaseerd op het ‘Rapport - Heupdiagnostiek’ dat is opgesteld door stralingsdeskundigen van het Maastricht UMC+. Dit rapport is opvraagbaar bij het verenigingsbureau van de VAH.