Een orthopeed kan met verschillende onderzoeken vaststellen of jouw heupklachten inderdaad veroorzaakt worden door heupartrose. Op deze pagina lees je hoe een orthopeed de diagnose stelt en welke klachten er bij heupartrose horen.
De informatie op deze pagina is gecontroleerd door leden van onze Medische Adviesraad.
Hoe bepaalt een arts of je heupartrose hebt?
Een orthopeed bepaalt op basis van de drie manieren hieronder beschreven of je heupartrose hebt.
- Anamnese: jouw verhaal over je klachten. Je vertelt bijvoorbeeld waar het pijn doet, wanneer je klachten begonnen zijn en wat je doet als je de meeste klachten hebt. Wil je je goed voorbereiden op de afspraak? Dan kun je een pijndagboek bijhouden. Hierin beschrijf je wat je doet voordat je pijn krijgt. Je beschrijft ook wanneer en welke pijn je voelt. Je kunt hiervoor bijvoorbeeld het Pijndagboek uit de Pijntoolkit gebruiken.
- Lichamelijk onderzoek: na de anamnese gaat de arts je onderzoeken. De arts kijkt of je je heupgewricht nog goed kunt bewegen of niet. De arts kijkt daarnaast ook naar je rug of andere gewrichten.
- Aanvullend onderzoek / beeldvorming: daarnaast maakt een arts een röntgenfoto. Op de röntgenfoto kijkt de arts of er afwijkingen van het heupgewricht te zien zijn, zoals artrose. Eventueel zijn er nog aanvullende scans mogelijk, bijvoorbeeld een CT- of een MRI-scan.

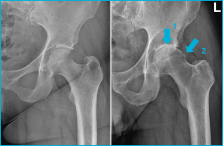
De afbeelding laat twee röntgenfoto’s van een linkerheup zien. Op de linkerfoto zie je een normale heup. Op de rechterfoto zie je een heup met artrose. Dit is te zien aan de gewrichtsspleetversmalling (pijl 1) en een osteofyt bij de overgang van de kop naar de hals (pijl 2). Ook is er sclerose zichtbaar bij pijl 1.
De arts stelt op basis van de uitkomsten van deze drie onderzoeken de diagnose heupartrose.
Wat zijn de klachten die horen bij heupartrose?
Heb je last van heupartrose? Dan leidt dat meestal tot pijnklachten. Ook kan je heup stijf worden, waardoor je deze lastiger kunt bewegen.
De pijn zit vaak in het gebied bij je lies, maar kan ook uitstralen naar je bil, bovenbeen of knie. Daar kun je overdag last van hebben, maar ook vaak ’s nachts. Word je ’s nachts wakker van de pijn in je heupgewricht? Dat heet nachtpijn. Je kunt ook pijn krijgen als je een beweging begint of als je het heupgewricht belast. Bijvoorbeeld als je opstaat uit een stoel of als je in beweging wilt komen. Dat heet startpijn of startstijfheid.
Pijn
Veel mensen merken dat als ze in beweging blijven, de klachten na even lopen wat afnemen, maar later toch steeds erger worden. Het wordt bijvoorbeeld steeds lastiger om langere afstanden te lopen. Ook kun je merken dat je telkens meer pijnstillers nodig hebt om je dag door te komen. Uiteindelijk kun je ook pijn krijgen in rust.
Stijfheid
Wordt je heup steeds stijver? Dan kun je bepaalde bewegingen niet meer goed uitvoeren. Je heup spreiden of draaien bijvoorbeeld. Je merkt dan bijvoorbeeld dat het aantrekken van je sokken en schoenen steeds lastiger gaat, of dat het steeds moeilijker wordt om op je fiets te stappen.
Klachten zijn voor iedereen anders!
Heb je niet precies alle klachten die hierboven staan beschreven? Dan kun je nog steeds last hebben van heupartrose. Voor iedereen verloopt deze aandoening namelijk anders. Sommige mensen hebben vooral last van stijfheid, anderen van pijn of juist van allebei. Ook de mate van slijtage zegt niet alles over de hoeveelheid klachten die je ervaart. Dat verschilt per persoon!